Работаем с 9:00 до 21:00 ежедневно в городе Пушкино
8 916 798-45-36 2-й Фабричный проезд, д.16
Центр стоматологии Жемчуг на Фабричном проезде
Россия
Московская область
Пушкино
2-й Фабричный проезд, д.16
+79167984536
⚠️ Уважаемые пациенты! На сайте произошел технический сбой, идет процесс восстановления. Просим обращаться по телефонам наших центров стоматологии по всем интересующим вас вопросам. Приносим свои извинения за временные неудобства.

До и после

Всегда интересно узнать какой результат ожидать после лечения сложного кариеса, особенно когда он возникает в зубе под старой пломбой. Узнать насколько качественно и незаметно будет смотреться отреставрированный зуб.

Каждый наш пациент может быть уверен, что результат будет безупречным! Вы можете самостоятельно сравнить результаты до и после лечения в этом разделе.

"Жемчуг" - стоматология в Пушкино, которая обладает всем необходимым инструментарием, лицензиями и квалифицированными врачами-стоматологами. Мы оказываем помощь даже при самых тяжелых и запущенных случаях ежедневно с 9:00 до 21:00 по адресу: г. Пушкино, 2-й Фабричный проезд, д.16.

До
До
После
После
Реабилитация верхней челюсти циркониевыми коронками на имплантатах. Выполнил врач Краснов Д.А.
До
До
После
После
Лечение кариеса 4.7. Выполнил врач Краснов Д.А.
До
До
После
После
Гигиена полости рта. Выполнил стоматолог-гигиенист Гончарова София.
До
До
После
После
Лечение кариеса 22 зуба. Замена старой реставрации на новую. Выполнил врач Краснов Д.А.
До
До
После
После
Реставрация фронтальных верхних резцов керамическими винирами. Выполнил врач Краснов Д. А.
До
До
После
После
Лечения кариеса 36, 37, 38 зубов. Выполнил врач Краснов Д.А.
До
До
После
После
Лечение кариеса 46,47 зуб. Выполнил врач Краснов Д.А.
До
До
После
После
Лечение кариеса 37, 36 зуб. Выполнил врач Краснов Д.А.
До
До
После
После
Лечение кариеса 36, 37 зуб. Выполнил врач Краснов Д.А.
До
До
После
После
Лечение кариеса 47 зуб. Выполнил врач Краснов Д.А.
До
До
После
После
Замена пломбы на 11 зубе. Реставрацию выполнил врач Краснов Д.А.
До
До
После
После
Имплантaция 36 зуба. Выполнил врач Краснов Д.А.
До
До
После
После
Лечение кариеса 37 зуба. Выполнил врач Краснов Д.А.
До
До
После
После
Временные композитные реставрации. Промежуточный этап в ортопедическом лечении. Выполнил врач Краснов Д.А.
До
До
После
После
Временные композитные реставрации. Промежуточный этап в ортопедическом лечении. Выполнил врач Краснов Д.А.
До
До
После
После
Временные композитные реставрации. Промежуточный этап в ортопедическом лечении. Выполнил врач Краснов Д.А.
До
До
После
После
Лечение кариеса, 47 зуб. Выполнил врач Краснов Д. А.
До
До
После
После
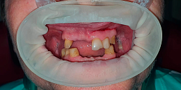
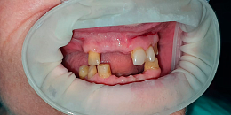
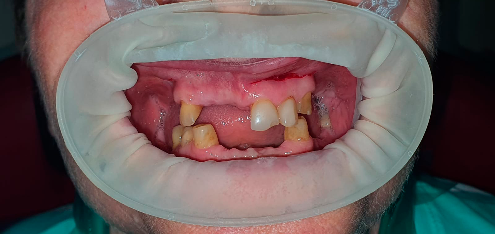
Протезирование верхней и нижней челюстей съёмным и частично съемным протезами с опорами на цирконевые коронки 43, 44, 33, 34 зубов. Выполнил врач Краснов Д. А. и зубной техник Сапрунов Д. В.
До
До
После
После
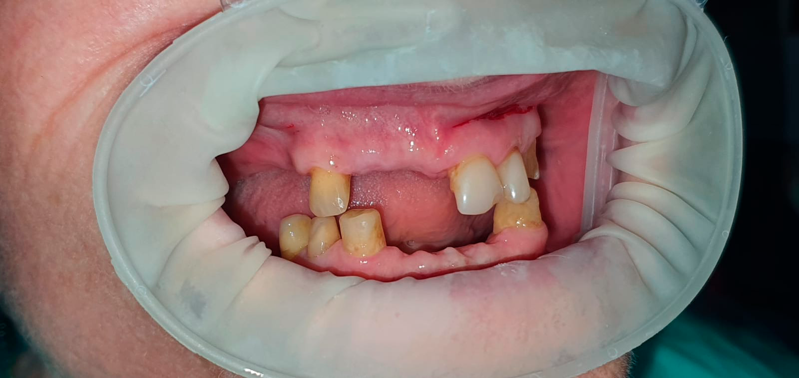
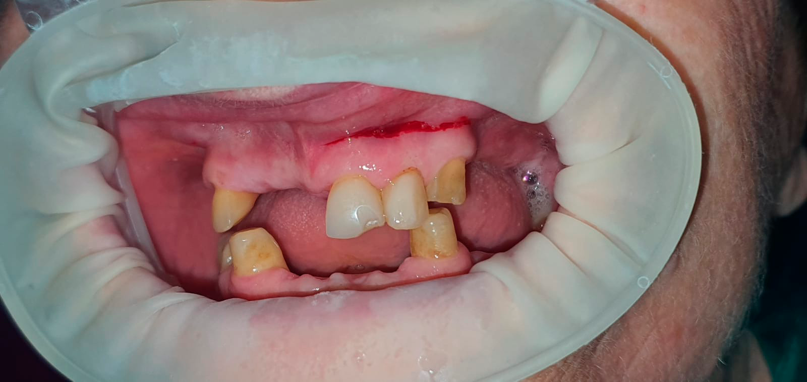
Протезирование верхней и нижней челюстей съёмным и частично съемным протезами с опорами на цирконевые коронки 43, 44, 33, 34 зубов. Выполнил врач Краснов Д. А. и зубной техник Сапрунов Д. В.
До
До
После
После
Протезирование верхней и нижней челюстей съёмным и частично съемным протезами с опорами на цирконевые коронки 43, 44, 33, 34 зубов. Выполнил врач Краснов Д. А. и зубной техник Сапрунов Д. В.
До
До
После
После
Лечение кариеса, зуб 4.5. Выполнил врач Краснов Д. А.
До
До
После
После
Реставрация фронтального резца. Е-мах целнокерамическая коронка. Фото сразу после фиксации реставрации. Выпонил врач Краснов Д.А.
До
До
После
После
Реставрация фронтального резца. Е-мах целнокерамическая коронка. Фото сразу после фиксации реставрации. Выпонил врач Краснов Д.А.
До
До
После
После
Реставрация фронтального резца. Е-мах целнокерамическая коронка. Фото сразу после фиксации реставрации. Выпонил врач Краснов Д.А.
До
До
После
После
Лечение кариеса 13 зуб. Выполнил врач Иванов В. А.
До
До
После
После
Лечение кариеса 15 зуб. Выполнил врач Краснов Д. А.
До
До
После
После
Лечение кариеса 15 зуб. Выполнил врач Краснов Д. А.
До
До
После
После
Профессиональная гигиена. Выполнила стоматолог-гигиенист Ковалева Н. В.
До
До
После
После
Восстанвление верхних передних резцов цельнокерамическими коронками.
До
До
После
После
Лечение вторичного кариеса под пломбой, реставрация. Зуб 44
До
До
После
После
Лечение зуба и реставрация. Зуб 11
До
До
После
После
Клинический случай. Лечение фиссурного кариеса зуба 16
До
До
После
После
Клинический случай. Лечение вторичного кариеса под пломбой зуба 47
До
До
После
После
Восстановление фронтальных резцов нижней челюсти с помощью цельнокерамических коронок E-max
До
До
После
После
Реабилитация верхней и нижней челюстей керамическими коронками на имплантататах. Керамические коронки на винтовой фиксации.
До
До
После
После
Реабилитация пациента (протезирование) металлокерамическими коронками и бюгельными съемными протезами на верхней и нижней челюстях.
До
До
После
После
Лечение кариеса 36 зуба. Замена старой реставрации на новую.
До
До
После
После
Лечение кариеса 4.7 зуба замена старой реставрации на новую.
До
До
После
После
Протезирование на имплантатах в области 3.6;3.7. Одиночные коронки на винтовой фиксации. Технически обслуживаемая конструкция с возможностью разбора при необходимости.
До
До
После
После
Реставрация передних верхних и нижних резцов винирами и корнками E-mах.
До
До
После
После
Лечение кариеса 36, 37, 46, 47 зубов
До
До
После
После
Реставрация безметаловой керамикой E-мах. Врач Краснов Д. А.
До
До
После
После
Лечение 46 зуб, кариес. Врач Краснов Д. А.
До
До
После
После
Лечение кариеса 47 зуба. Врач Краснов Д. А.
До
До
После
После
Лечение кариеса 16, 17 зуб. Врач Краснов Д. А.
До
До
После
После
Лечение кариеса, замена реставрации на 46, 47 зубах. Врач Краснов Д. А.
До
До
После
После
Реставрация 2 и 3 сегментов верхней и нижней челюстей металлокерамическими коронками и керамическими коронками на имплантатах. Врач Краснов Д. А.
До
До
После
После
Замена металлокерамических коронок на циркониевые на верхней челюсти. Фронтальные зубы - циркониевые коронки на зуб. Боковые сегменты левая и правая стороны циркониевые коронки на имплантатах. Выполнил врач Краснов Д.А.
До
До
После
После
Имплантaция 46 зуба (зеркальное отображение). Удаление было более 12 лет назад, за это время произошла атрофия альвеолярного гребня. Выполнено костное расщепление. Врач Краснов Д. А.
До
До
После
После
Протезирование верхней и нижней челюстей съёмным и частично съемным протезами с опорами на цирконевые коронки 43, 44, 33, 34 зубов. Выполнил врач Краснов Д. А. и зубной техник Сапрунов Д. В.
До
До
После
После
Лечение кариеса, зуб 4.5. Выполнил врач Краснов Д. А.
До
До
После
После
Реставрация фронтального резца. Е-мах целнокерамическая коронка. Фото сразу после фиксации реставрации. Выпонил врач Краснов Д.А.
До
До
После
После
Лечение кариеса 13 зуб. Выполнил врач Иванов В. А.
До
До
После
После
Лечение кариеса 15 зуб. Выполнил врач Краснов Д. А.
До
До
После
После
Лечение кариеса 15 зуб. Выполнил врач Краснов Д. А.
До
До
После
После
Профессиональная гигиена. Выполнила стоматолог-гигиенист Ковалева Н. В.
Мы используем собственные и сторонние файлы cookie, чтобы понять, как используется наш сайт, и иметь возможность улучшить его работу, адаптировать содержание к вашим предпочтениям и персонализировать рекламу, маркетинг и публикации в социальных сетях. Дополнительную информацию можно найти в нашей Политике конфиденциальности